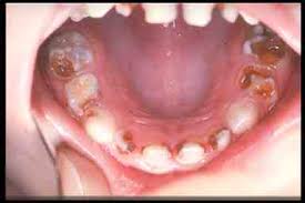
Kalau sudah seperti ini aduhhhhhhhhh....rasanya makan apa saja menjadi ga enak. Kemana - mana harus membawa sikecil yang ampuh alias tusuk gigi. Orang yang mengkonsumsi makanan dan melakukan pemeliharaan gigi dengan kurang benar, giginya akan mudah rusak. Biasanya bentuk kerusakan itu berupa gigi terkikis, yang akhirnya berlubang. Lubang gigi, dapat menahan sisa - sisa makanan. yang menyebabkan kerusakan gigi makin berat. Terlebih jika makanan itu banyak mengandung gula. Dari sudut rasa, makanan tadi memang lezat, tetapi banyaknya gula sangat tidak baik untuk gigi. Sisa makanan seperti itu jika tertahan dilubang atau sela-sela gigi, akan menjadi tempat ideal bagi pertumbuhan bakteri.
Air gula akan terhidrolisis menjadi glukosa dan fruktosa. Bakteri yang tumbuh akan melakukan metabolisasi glukosa dan fruktosa. Lalu, terjadi asam - asam organik, yang akan menyebabkan reaksi asam. Reaksi asam itu akan mengikis lapisan luar gigi. Jika lapisan luar gigi telah terkikis, mudah sekali terbentuk lubang - lubang pada gigi. Jika sudah berlubang, akan makin besar pula kemungkinannya menahan sisa - sisa makanan. Pada tahap selanjutnya dapat meningkatkan pembusukan gigi. Kalau sudah seperti ini jika kita membiarkan dan tidak segera berobat tunggulah kerontokan gigi menanti Anda.

0 comments:
Post a Comment